상세페이지 로고
상세페이지 로고
메뉴 아이콘
유머

애국포 좀 주세요~~~

2024.10.21타임스
좋아요 수
0
조회0
신고하기


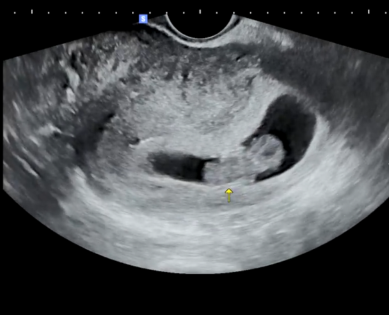
첫째고 임신시도는 3~4년은 한 거 같아요.

올해 초 이젠 너무 갖고 싶어서 병원 열심히 다녔고 드디어 결실을 맺었네요.


첫애가 생기면 꼭 하고 싶었던 여러가지가 있는데 그 중 하나가 펨코에서 축하받는거였네요 ㅎㅎ


다들 축하해주세요

  • 좋아요
    좋아요
    마음에 드는 게시물에
    좋아요를 눌러주세요!
  • 공유하기
    공유하기
  • 신고하기
    신고하기

댓글쓰기

댓글 주의사항
다른 사용자들에게 불쾌감을 줄 수 있는
욕설이나 비방 목적의 댓글은
관리자에 의해 삭제될 수 있습니다.
닉네임
비밀번호

댓글

0

추천순

댓글 순서