유머
치아유전 ㅁㅌㅊ?
2024.12.26
춘식이
0
조회
0
신고하기
키읔의 더 많은 재밌는 콘텐츠를 보고 싶다면?
키읔파트너스 바로가기
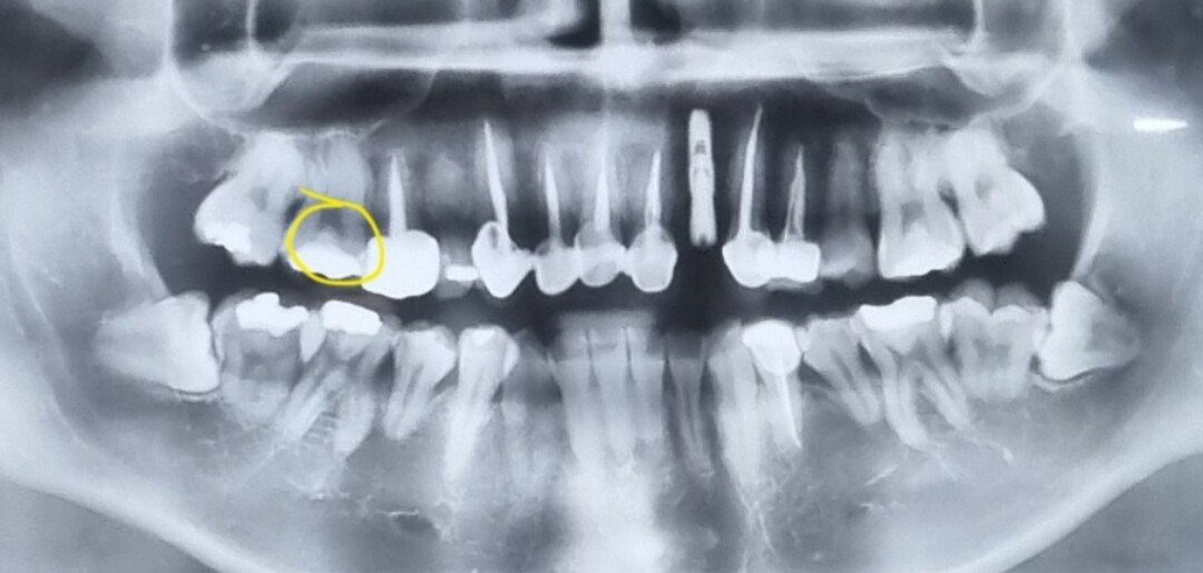
저 동그라미에 크라운 하나 새로 박아야할듯 ㅋㅋㅋㅋ
어릴때 관리를 못받기도했고 얀치도 안하기는 했음.....
엄마는 지금 임플하나 진행중
아빠는 40대부터 틀니착용함
난 23살
누나 2명있는데 누나는 크라운 2,3개 있음 ㅋㅋㅋ
내가 관리를 ㅈ 같이 못한거임?
아니면 그냥 나만 유독 유전이 ㅈ 같은거임?
올해초에 급하게 특약 다 때려놓고 보함 가입함..
재미도 2배
감동도 2배
수익도 2배
컨텐츠 공유만해도 수익창출이 가능한 웹테크는...
키읔파트너스 바로가기
이미 키읔파트너스 사용자라면?
로그인하기
좋아요
마음에 드는 게시물에
좋아요를 눌러주세요!
공유하기
신고하기
이전글
[OFFICIAL] 넷플릭스 오징어게임 시즌2 전편 공개 완료
다음글
[속보] ‘연일 치솟는’ 환율, 1464.8원 마감…금융위기來 첫 1460원대 진입
댓글쓰기
다른 사용자들에게 불쾌감을 줄 수 있는
욕설이나 비방 목적의 댓글은
관리자에 의해 삭제될 수 있습니다.
닉네임
비밀번호
등록
댓글
0
추천순
댓글쓰기
욕설이나 비방 목적의 댓글은
관리자에 의해 삭제될 수 있습니다.
댓글
0추천순